GISTの診断にはどのような検査がありますか?
さまざまな検査を使って診断します。おもな検査方法は次のとおりです。
内視鏡検査
内視鏡を使って、胃や腸の中を直接確認する方法です。細いカメラ付きの管を入れて、腫瘍の様子を観察します。腫瘍の一部をとり顕微鏡で調べることで、GISTかどうかを確定します(病理診断)。その際に、超音波検査を利用して内視鏡的に腫瘍の一部を取る超音波内視鏡ガイド下生検や、体の外から超音波検査やCTで腫瘍を探して生検する超音波ガイド下生検やCTガイド下生検などがあります。

CT検査やMRI検査
体の中を細かく画像で撮影する検査です。CTやMRIで、腫瘍の大きさや位置を確認します。これにより、腫瘍がどのくらい広がっているかわかります。
「ステージ(病期)」「リスク分類」とはなんですか?
ステージ(病期)
ステージとはGISTがどれくらい進行しているか、重い状態かを表す指標です。それにより治療方針が変わってきます。GISTのステージは、主に以下の要素で決まります。胃と胃以外の臓器で分類が違います。
腫瘍の大きさ(T)
小さいうちに見つかれば、ステージが低く治療しやすい。
リンパ節転移(N)
リンパ節転移があればステージⅣで薬物治療の適応となる。
遠隔転移の有無(M)
他臓器に転移しているとステージⅣで薬物療法の適応となる。
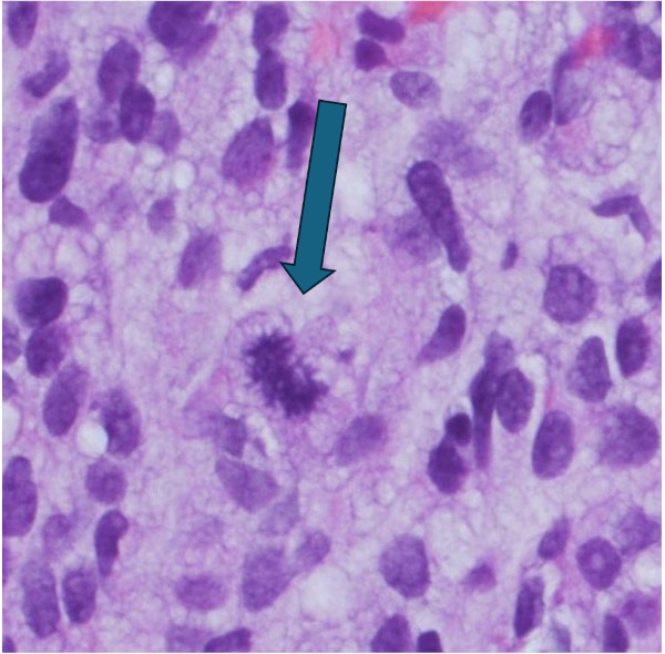
有糸分裂率(核分裂指数)
「有糸分裂率」とは顕微鏡で見て、核分裂して増殖するGIST細胞をどれくらい見つけられるかで判断される指標です。核分裂指数などと呼ばれることもあります。GISTの進行が速いかどうかを判断するための指標になります。そのため有糸分裂率が高いほど、高いステージに分類されます。
細胞が核分裂するとき遺伝子が糸のような形になって分かれていきます。それを数えて分裂が激しいかどうかを調べます。
リスク分類
GISTの場合、ステージとは別にリスク分類を行います。ステージに似ていますが、おもに手術後、追加で薬物療法を行った方が良いかどうかを判断するための指標として利用します。
リスク分類は以下の3要素の組み合わせで決まります。
- 腫瘍の大きさ
小さいほど再発する可能性が低いことがわかっています。 - 有糸分裂率(核分裂指数)
GISTの成長が速いかどうかを判断するための指標になります。核分裂像が少ないほど再発する可能性が低いとされています。 - 原発部位
GISTが発生した臓器のことです。胃の方が胃以外と比べ再発の可能性が低いことがわかっています。
