前立腺がんの診断はどのようにするのですか?
前立腺がんは初期では症状がありません。前立腺の腫瘍マーカーである、血液中の前立腺特異抗原(PSA)が基準値を超えていれば、再検査や精密検査をおこないます。PSAの基準値は64歳以下 3.0 ng/mL以下、65-69歳では 3.5 ng/mL以下、70歳以上では4.0 ng/mL以下です。
PSAが高値であった場合は、直腸指診や超音波検査、MRI検査が行われ、疑わしい場合は前立腺生検により診断します(前立腺生検については、後のQ&Aをお読みください)。診断が確定されると、前立腺以外の臓器へのがんの広がりがないか、CTや骨シンチグラフィーなどで調べ、総合的に前立腺がんのステージ(病期)が決定します。
直腸指診とは、肛門から指で前立腺を触って腫瘍があるか、直腸近辺の組織に進展していないか調べる重要な検査です。前立腺では必ず行われます。
PSAが高いと全員ががんなのですか?
PSAはがん以外の原因でも上がることがあります。例えば、前立腺炎がある場合は一時的に上昇する場合がありますし、ストレスや便秘でも上昇することもあります。また、前立腺肥大症がある場合もない方と比べて高い数値になる場合があります。判断が難しい場合は、PSAの分画、あるいは期間をあけてPSAを測定してその変化率をみたり、画像検査などを組み合わせて、疑いが強い場合は、診断確定のため前立腺生検を行います。また、PSAは他のがんの診断には役立ちません。
前立腺生検とはなんですか?
治療方針を決めるために、体の病変(組織)の一部を取ることを“生検“、取ったものを顕微鏡で調べて診断をすることを病理診断と言います。疑わしい部分が本当にがんかどうか、どれくらい危険なものかを調べるために必要です。(グリソンスコアとは何ですか参照)
前立腺の場合、経直腸生検と、経会陰生検があります。
経直腸針生検では肛門を通して針生検します。
ステージ(病期)分類ってなんですか?
病気の広がりや、病理検査の結果などを総合してステージ(病期)を決定します。
前立腺がんのステージ(病期)分類
病気の広がりの程度は以下の3つの項目で決めます。
- 局所進展(T):
腫瘍が発生した場所でのがんの拡がり(進展)程度。Tで表示。下の表を参照 - 所属リンパ節転移(N):
前立腺周囲のリンパ節に転移があるかどうか。あればN1, なければN0 - 遠隔転移(M):
はなれた位置の臓器に広がっているかどうか。広がっていればM1、なければM0
| 病期 | 説明 |
|---|---|
| Ⅰ期 | 針生検や経尿道的前立腺切除標本の病理検査で診断されたが、画像検査や直腸指診などではがんがあるかどうかわからない。 |
| Ⅱ期 | 直腸指診・画像検査などで腫瘍があることはわかるが、前立腺内にとどまる。 |
| Ⅲ期 | 前立腺から出て広がっているが、前立腺周囲にとどまる。 |
| Ⅳ期 | 前立腺から離れた部位の臓器に広がっている。例:骨、肺、リンパ節など |
ステージ(病期)分類を決めるTNMの組み合わせ
| 病期 | 局所進展(T) | 所属リンパ節転移(N)・遠隔転移(M) |
|---|---|---|
| Ⅰ期 | T1a-c, T2a | N0M0 |
| Ⅱ期 | T2, T2b, T2c | N0M0 |
| Ⅲ期 | T3 またはT4 | N0M0 |
| Ⅳ期 | T1-4 | N1M0, N0M1, N1M1 |
a,b,cの細分類がされてなくて、単にT2であればステージⅡとなる。N1かM1のいずれかがあればステージはⅣとなる。
T分類の詳しい説明
PSA検診や経尿道的前立腺切除術の検査で偶然見つかったもの
| T1 |
|
|---|
直腸指診や画像検査などで、腫瘍があることがわかるもの
| T2 | 前立腺内にとどまる
|
|---|---|
| T3 | 前立腺につながる組織(膀胱頚部や精嚢)に広がる
|
| T4 | T3以外の範囲を超えて広がる。例:直腸、画像診断でわかる膀胱への浸潤など |
前立腺がんはPSA検診をきっかけに症状のない状態で見つかることが多いので他の臓器とは違う特別な分類が用意されています。
(*1)経尿道的前立腺切除術は前立腺肥大症のかたに、前立腺の内側を削りとることで尿が出やすくする治療です。削り取った組織は前立腺肥大以外の病気の有無を調べるため病理検査を必ず行います。その時数%の人にがんが見つかります。
T1と診断されて前立腺がんの手術が行われた場合では、手術後の病理検査ではかならずT2以上に変更されます。手術前にT2aと診断されることは実際にはほとんどありません。また、T2b,T2cの亜分類も治療や予後に影響がないのであまり厳密に行われません。
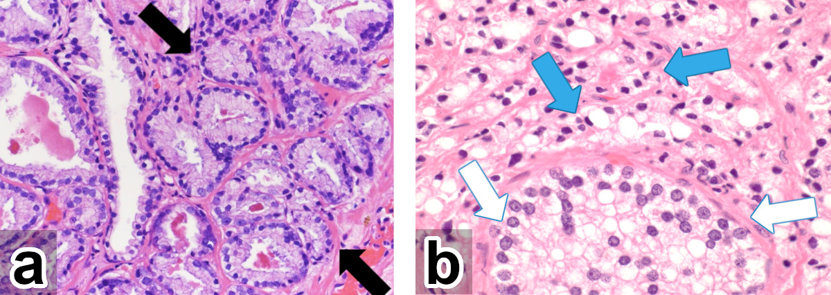
グリソンスコア(Gleason score、グリソン分類)とは何ですか?
グリソンスコアは前立腺がんの悪性度(がんの危険性)を表す指標です。
グリソンスコア6以下は低悪性度、8以上は高悪性度です。治療法を決定するのに重要です。
グリソンスコアは生検や手術後の病理検査で決定されます。前立腺の正常な組織の形にどれだけ似ているかで、グリソンパターン3,パターン4,パターン5の3つに分類します。そのうち1番腫瘍の面積が広いパターンと次に広いパターンの数字を足してグリソンスコアを決定します(例3+4=7)。同じパターンだけしかない場合は2回足します(例 3+3=6)。
a(左)では、黒矢印の間にがん細胞が1つずつの分かれた輪(管腔)を形成して広がっています。これはパターン3と呼ばれる形です。パターン3だけなので、グリソン分類は3+3=6となります。
b(右)では、白矢印の間にがん細胞が癒合した(分かれていない)管腔を形成しています。これはパターン4です。一方青矢印のところでは、がん細胞はばらばらに近く、管腔の形成が見られません。グリソンパターン5に当たります。グリソン分類は両者を合わせては4+5=9になります。
グリソン分類は4~10まであり、6までは悪性度が低く、10に近いほど悪性度が高くなります。
前立腺のリスク分類ってなんですか? どのように行われますか?
病名が同じ前立腺がんでも、組織の悪性度や広がり具合、PSAの数値によって、生命に影響する程度は異なります。転移があるもの(ステージⅣ)以外について、その危険度を分類したものがリスク分類です。それを参考にして治療法を選択します。
リスク分類は、①PSAの数値、②グリソンスコア、③病期で決まります。
| リスク分類 | PSA(ng/mL) | グリソンスコア | 病期 |
|---|---|---|---|
| 低リスク | <10 | ≦6 | Ⅰ |
| 中間リスク | 10-20 | 7 | Ⅱ |
| 高リスク | 20< | 8-10 | Ⅲ |
- 低リスク
表の低リスク行の3つの条件全てを満たした場合 - 中間リスク
低リスクにも高リスクにもあたらない場合 - 高リスク
表の高リスク行の3つの条件いずれかを満たした場合
セカンドオピニオンは受けた方がよいですか?
セカンドオピニオンは誰でも受けることが出来ます。
セカンドオピニオンとは、主治医の意見(第一の意見)に対して、他の医師の意見(第二の意見)のことを言います。主治医の説明を聞いたうえで、他の医師の意見も聞いてみたい時は、セカンドオピニオンを聞きたいと主治医に申し出てください。
セカンドオピニオンで聞く内容としては、
- 前立腺がんという診断を確認したい場合
- 初期治療を受ける際、治療法にどのような選択肢があるかを知りたい場合
- 再発、転移した時に、治療法や使用できる薬剤の種類などを知りたい場合
などがあり、治療途中でも受けることができます。
セカンドオピニオンについては別ページも設けています。こちらもご覧ください
前立腺癌は治療後の経過が長いことが予想されるので、治療後の生活もよく考えて相談してください。
前立腺癌は治療後の経過が長いことが予想されるので、治療後の生活もよく考えて相談してください。
