原発部位はどうやって調べるのですか?
原発不明がんの診断とは、原発部位がどこにあるか調べて、決めることです。
診断に当たっては画像診断と病理診断が特に重要です。それらや血清腫瘍マーカーを総合して原発巣を決めます。病院の総合力が問われる腫瘍です。
それでも決定出来なかった場合、原発不明がんと診断します。
病理診断はどうして大切なのですか?
原発不明がんの診療において病理診断の情報はきわめて大切です。顕微鏡で見ると、多くの場合、腫瘍の組織像から発生した部位の特徴を見て取れます。病理診断では、組織型、タンパクの発現、ウィルス感染、遺伝子異常など、様々な手段を用いることで、原発部位の推定が行える場合が多々あります。特定できない場合も原発候補を絞って有効な治療法を検討することに役立ちます。ただし、手段が多いがために、診断に時間がかかる場合もあります。
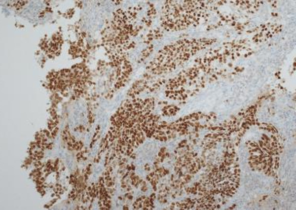
下の写真は原発不明がんの診断時に病理医がみている実際の顕微鏡像です。
詳細な説明は省きますが、この検査で原発部位が卵巣と分かりました。
画像診断はどうして大切なのですか?
原発不明がんの多くはCTやMRIなどの画像診断を行ったとき、原発部位候補が複数ある、あるいは転移と思われる病巣しか見つからないので、原発部位が決められなかった腫瘍です。しかし、過去の検査画像とあわせて検討したり、PET/CTで全身をチェックしたりすることで原発部位を推定することが出来ます。推定が難しい場合でも原発候補を絞って有効な治療法を検討することに役立ちます。
下の写真は原発不明がんの診断時に放射線診断科医がみている実際のPET/CTの画像です。
赤い部分が腫瘍です
検査で原発部位が分かる割合はどれくらいですか?
診療の当初あるいは途中の段階で原発部位が不明ながんの頻度は不明ですが、CTやMRIなどの画像診断を行ったとき原発部位が不明でも、PET/CTを行うと約4割の症例で原発部位が判明すると報告されています。
いろいろな検査法を組み合わせることで、当初原発不明とされたうち過半の例で原発が推定できます。様々な診断手法を行った結果、最終的に原発部位が特定できないまま診療される腫瘍は一般に全体の3-5%とされています。しかし、その場合もある程度原発部位の候補が絞られるものが多く、愛媛県地域がん登録(2012)に登録された原発不明がんは95件(1年間の愛媛県全体のがん罹患数の約1%)です。
